New Patient Exam
Our practice offers private care with a highly experienced clinician in a luxurious, boutique environment. We welcome all new patients in for an evaluation appointment which enables us to thoroughly examine your oral health.
We use only the highest spec, ultra-modern equipment to aid us in our procedures. A lot of treatments and scans that would usually have to be outsourced can be done here. Same day, same location, all under one roof.

It’s not just a chair, it’s an experience.
Attached to the chair we have access to:
Our priority is your in-clinic comfort and long-term oral health. From our hyper-ergonomic massage dental chair, to our industry leading intra-oral 3D scanner, we have taken exceptional care to improve the Dentistry experience at every stage.
We are immensely proud of our imaging, scanning and X-Ray facilities here at The Door W4. Radiographs and imaging are such a vital part of so many of the treatments that we offer here, and we use the highest-spec machines and tools for quick diagnosis and detailed records.
Types of Scans and Imaging:
Our practice offers private care with a highly experienced clinician in a luxurious, boutique environment. We welcome all new patients in for an evaluation appointment which enables us to thoroughly examine your oral health.
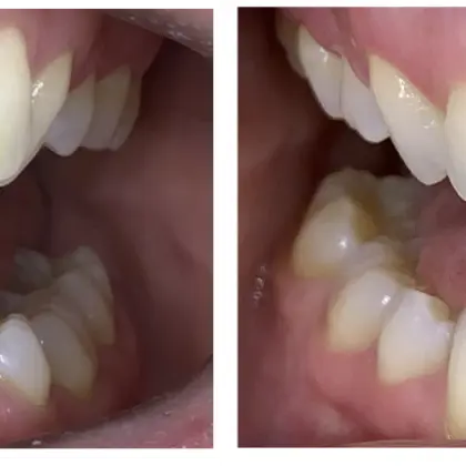
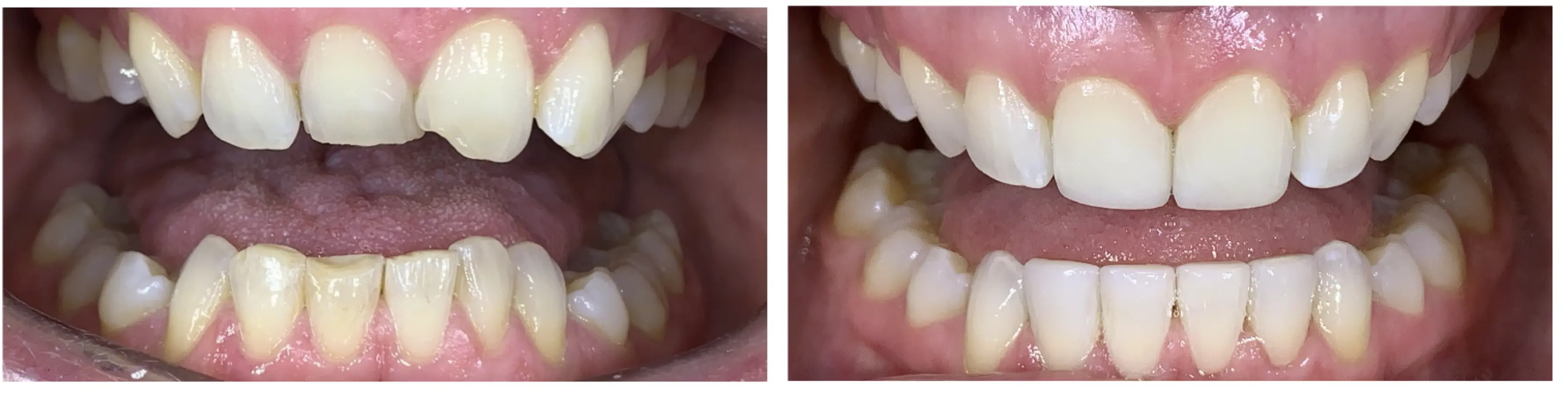
Get treatment fast, with quick diagnosis and swift action at The Door W4. When emergencies happen, an award-winning Dentist in a serene setting is the place to come.
Treatment for the gums, and everything below them. Includes Airflow, Scaling and Debridement, Crown Lengthening, Maintenance, Bone Grafting and Fissure Sealant.
Our priority is your in-clinic comfort and long-term oral health. From our hyper-ergonomic massage dental chair, to our industry leading intra-oral 3D scanner, we have taken exceptional care to improve the Dentistry experience at every stage.
Expertise
At The Door W4, we pride ourselves on our team of highly skilled and award-winning practitioners, each bringing years of expertise in aesthetic and surgical treatments. We carefully select the best in their fields to ensure you receive exceptional care and outstanding results, all under one roof.
CQC Registered
We're also CQC registered. CQC Registration is an accreditation by the Care Quality Commission that assess and confirms a certain level of hygiene, operational setup (ie. room design and available facilities) and patient care. This is the sort of level of accreditation usually found in hospitals and medical centres, so you can rest assured that you'll be getting the highest quality of treatment here with us.
Location
We're incredibly easy to get to. Visit us in leafy Chiswick, moments from vibrant Chiswick High Road. Close to Heathrow Airport and just off the M4, we are outside the congestion charging zone and very easy to access from out of London. With ample parking on site, you can have someone take you home straight from your treatment.

Get in touch with us for any enquiries by filling out our form below.